シャンツ看板 2025001.jpg 3D歯科技工 オフィス

CONCEPT

私たちが目指すもの

Committed to self-actualization.

 

はじめまして、京都市中京区で歯科技工のラボを構えているデンタルラボシャンツです。

私どもの基本理念は「おもいやり」「学び」「反省」「向上心」です。この4つのマインドを軸に会社運営を行っております。
 
また、スイスとの国境を流れるライン川沿いにあるWaldshut-Tiengenという町にあるドイツDentallabor Schanz社との海外研修プログラムでは、視野と国際感覚を広げて頂くことを目的としドイツの技工技術を学びたい若者への協力と手助けができれば良いと考えています。
 
若い技工士の育成に力を注ぎ、諸先生方のお役にたてるよう日々精進し、自助努力を忘れず、自己実現に邁進していく所存でございます。

Technic

Dental laboratory technology

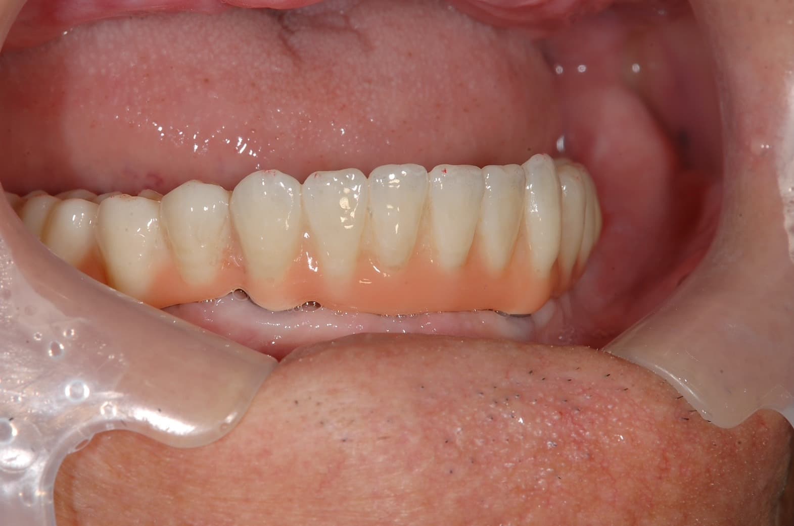
デンタルラボシャンツでは、インプラント、セラミック、CAD/CAMミリングテクニックなど数多くの技工技術を取り入れ、日々研究に励んでいます。

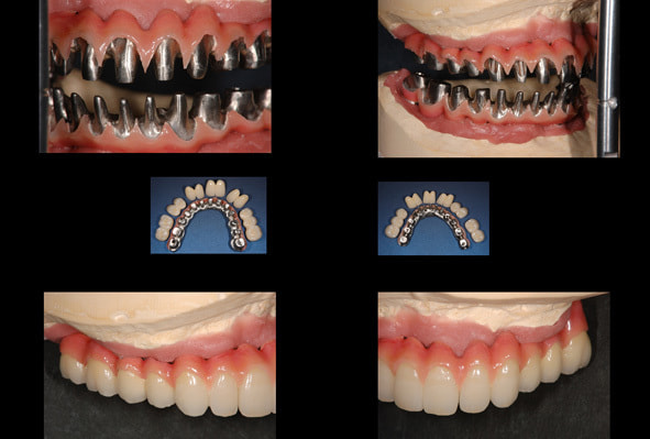
IMPLANT

インプラント歯科技工

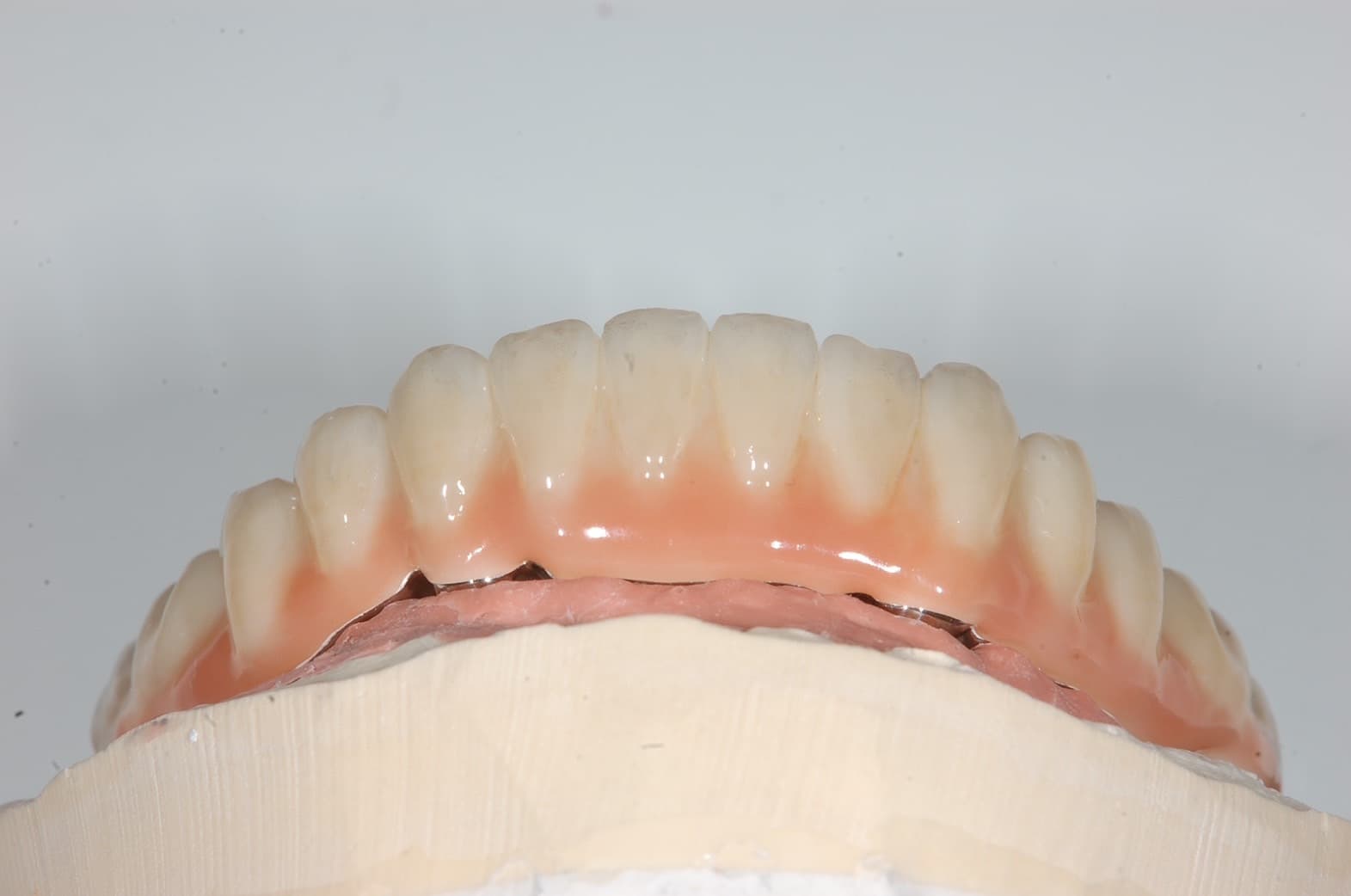
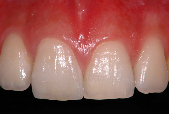
CERAMIC

セラミックの歯科技工

CAD/CAM

s__10108974_0.jpg s__10108976_0.jpg s__10108977_0.jpg s__10108978_0.jpg s__10108979_0.jpg s__10108980_0.jpg s__10108981_0.jpg

GREETING

代表あいさつ

デンタルラボシャンツ代表
 

私が歯科技工士の職につきましてから今年で早36年を迎えます。専門学校卒業後からの7年間は三品富康様(株式会社浅井歯科技研社長)のもと、歯科技工の基礎をみっちり叩き込んでいただきました。
その後8年目からの7年間は坂清子様(株式会社ノリタケデンタルサンプライ設立者)のお力添えによりドイツへ渡り、マイスターSCHANZ氏のもとで世界のトップレベルの技術を学ぶ機会に恵まれました。
さらに、ヨーロッパや世界各国の人々とも知り合い、文化や世界観の違いを学ぶこともできました。
帰国後、15年目から7年間は飯田正人先生(PIO国際歯科センター/飯田歯科センター院長)のもとで過去15年間に身に着けた技術を生かし、患者様中心のチーム医療に参加させていただき、教科書どおりにはいかない技工の難しさを身をもって感じ取ることができました。
また、研修会や勉強会を積極的に行われる飯田先生を通し、「教育」が自己を向上させるためにいかに重要な要素であるかということに、改めて気づかされました。
この36年間は私にとって、自分の特性、長所、短所を知り、自己の基礎を作り上げる上で大切な時間であったと思います。
私を成長、向上させてくださった多くの皆様に感謝し、今後も日々切磋琢磨していく所存です。

デンタルラボシャンツ

代表 山口 洋

STAFF

技工士・スタッフ

01

山口洋

山口洋

代表取締役 / 歯科技工士

海外経験:1992年~2000年ドイツ/経歴:ノリタケヨーロッパインストラクター(1995~2000)・ペントロンOPCシステムインストラクター・カボ咬合器インストラクター・カムログインプラントインストラクター・フリアリットインプラントシステムインストラクター/趣味:バイク・旅行

 
 

02

山口富香

山口富香

事務 / 他資格等

趣味:バードウォッチング・山や森など自然の中で過ごす・鷹の渡り観察

 
 

03

藤原

藤原

歯科技工士 / 他資格等

経歴:京都歯科医療技術専門学校2014年卒業/同校専攻科2015年卒業

 
 

04

影平

影平

歯科技工士 / 他資格等

経歴:京都歯科医療技術専門学校2018年卒業

 
 

COMPANY

会社概要

歯科技工所の工房
社名

株式会社デンタルラボシャンツ

代表取締役

山口洋

所在地

〒604-0962

京都府京都市中京区達磨町590番地2F

電話番号

075-241-2879

主要取引先

全国の歯科医院 

Instagram

SNS

CONTACT

お問合せ

お問合せは、お電話(075-241-2879)または以下フォームから承っております。